top of page


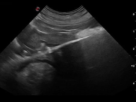
Dog with chronic cough
A 9-year-old dog was brought in due to a persistent cough lasting for the past month, despite being up-to-date on vaccinations and...
miguelpemadar
Sep 13, 20231 min read
Â
Â
Â


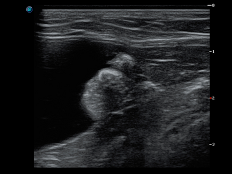
Dog with MCT affecting the hind limb
A 9 year old female dog presented with a soft tissue swelling affecting her right hind limb. Fine needle aspiration of the mass confirmed...
miguelpemadar
Aug 4, 20231 min read
Â
Â
Â


Dog with acute abdominal pain
A 7-year-old dog was brought in with sudden abdominal pain, vomiting, lethargy, and blood in the urine. During the physical examination,...
miguelpemadar
Mar 11, 20231 min read
Â
Â
Â


Sublumbar lymphadenopathy causing mechanical obstruction of the colon
A middle-aged neutered male dog was brought in with a history of chronic tenesmus and recurrent anal gland abscesses. Upon physical...
miguelpemadar
Mar 11, 20233 min read
Â
Â
Â


Gastric foreign body in a dog
A young dog was brought in, displaying signs of apathy over the last four days. The patient had experienced a single acute vomiting...
miguelpemadar
Jan 20, 20231 min read
Â
Â
Â


Renomegaly and subcapsular hypechoic halo in a cat
An elderly cat was brought in with vague symptoms, including lethargy and significant weight loss. Initial bloodwork revealed moderate...
miguelpemadar
Dec 30, 20221 min read
Â
Â
Â


Renal carcinoma in a cat
An adult cat was presented with symptoms of anorexia and lethargy. Initial blood tests did not reveal any significant abnormalities....
miguelpemadar
Dec 18, 20221 min read
Â
Â
Â


Intestinal carcinoma in a cat
A cat was brought in due to nonspecific symptoms of lethargy and a reduced appetite. Upon examination, a mass-like lesion was palpated in...
miguelpemadar
Dec 18, 20221 min read
Â
Â
Â


Colonic mast cell tumour in a cat
A cat was referred for an abdominal ultrasound following the palpation of a potential mass during a routine abdominal examination. The...
miguelpemadar
Nov 24, 20221 min read
Â
Â
Â


Biliary obstruction caused by colelith in a cat
A female cat was brought in displaying icterus (jaundice), yet she remained bright and alert, showing no other significant clinical...
miguelpemadar
Nov 8, 20221 min read
Â
Â
Â


Urinary bladder transitional cell carcinoma (TCC) in a male cat.
An elderly male domestic shorthair cat presented with persistent lower urinary tract issues that were unresponsive to medical...
miguelpemadar
Nov 8, 20221 min read
Â
Â
Â


Pyonephrosis in a dog caused by ureteral obstruction
Hydronephrosis, a condition characterized by the dilation of the renal collecting system, often results from an obstruction that impedes...
miguelpemadar
Nov 8, 20221 min read
Â
Â
Â


Adrenal gland neuroendocrine carcinoma in a dog.
In a recent case, we encountered a geriatric dog brought in for an abdominal scan due to elevated liver enzymes. During the examination,...
miguelpemadar
Nov 8, 20222 min read
Â
Â
Â


Congenital intrahepatic portosystemic shunt
A 2-month-old male puppy was brought to our attention presenting with blood in his urine (hematuria) and neurological symptoms that...
miguelpemadar
Nov 8, 20222 min read
Â
Â
Â


Metastatic iliac lymph node
In a recent case, a 13-year-old female dog was presented with persistent symptoms of a urinary tract infection that did not respond to...
miguelpemadar
Nov 8, 20221 min read
Â
Â
Â


Gastric lymphoma in a 7 year old cat
A 7-year-old female cat was referred for an ultrasound scan of the urinary bladder, following a history of recurrent urinary tract...
miguelpemadar
Nov 8, 20222 min read
Â
Â
Â


Tetralogy of Fallot
In this post, we delve into the case of a young dog referred to us for an echocardiography due to concerning symptoms: exercise...
miguelpemadar
Nov 8, 20221 min read
Â
Â
Â


Intestinal lymphoma in a cat
A 15-year-old female domestic shorthair cat was referred to our attention presenting chronic vomiting, weight loss, lethargy, and...
miguelpemadar
Nov 8, 20221 min read
Â
Â
Â
bottom of page
